• Ambawadi, Ahmedabad 380006
  • info@thedentalhubahmedabad.com
  • Call Today 9898892051
  • Open Hour Mon - Sat 10:00am - 02:00pm
    Mon - Sat 4:00pm - 8:30pm

If you have a missing tooth and it is affecting your comfort or your confidence, a dental implant could be your solution.

If you're having these following issues, maybe you should consider having a dental implant.

  • Missing teeth
  • Dislike wearing dentures
  • Temporary teeth replacement

If you have a missing tooth and it is impacting your comfort or your confidence, a dental implant could be your solution.

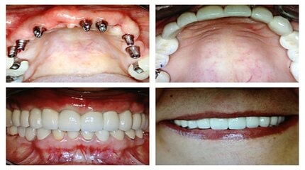
Dental implants have had a considerable impact on modern dentistry – offering a highly viable solution to replacing missing teeth. A dental implant is essentially an artificial tooth that is placed, or implanted, into your jaw where a dental crown is then capped on for a complete tooth that looks and even feels like a real tooth. The best part is that the new replacement tooth will function as seamlessly as your regular tooth.

Dental implants can replace:

  • A single tooth
  • Multiple teeth
  • All of your teeth (implant dentures)

Dental implants Benefit you by:

  • Preventing potential of gum disease that could be caused by continuous bone loss
  • Preserving bone and stability for your teeth
  • Enhancing the appearance of your smile
  • Fix teeth in just 72 hours
dental implants

Dental Implant is an artificial tooth root that replaces the natural lost tooth into your jaw. It can be placed single or multiple depending on the requirement of the patients' need. Out of the multiple tooth replacement options out there, there is no solution quite as effective or revolutionary as dental implants for the dental patients. They are the best option who lost teeth due to various reasons such as gum diseases, accident, trauma, tooth decay, etc.

The implant itself is made from titanium, which naturally bonds with bone tissue and keeps the implant properly anchored. Thanks to this integration, chewing your favorite foods feels natural because the jaw bone is being continuously stimulated. Furthermore, replacing the root also restores blood flow to the cheeks, preventing them from prematurely sagging and hollowing out. This is a common side effect of tooth loss that doesn’t get properly addressed via traditional tooth replacement methods.

Dental implants are permanent tooth replacements. They hold a crown, bridge or denture just like roots hold natural teeth in place. Many dentists consider implants to be one of the greatest advancements in dentistry since they truly are "the next best thing to your natural teeth."

  • Comfort: Dental Implants are so comfortable that one don't remember the tooth was once missing is now replaced with dental implant. They are the permanent tooth replacements.
  • Cosmetic: Dental Implants are lookalike the natural tooth. Dental implant integrates into the bone structure and thereby prevents bone loss and gum diseases. One cannot make out that the dental implants are placed into the mouth.
  • Form and Function: Dental Implants along with replacement of tooth also replace the lost form and functions such facial contours, smile line, speech, chewing efficiency, and much more. Dental Implants help to maintain the oral health with natural form and function. Dental Implants replace one or more teeth. They support the fixed bridge and eliminate the need for removable complete or partial dentures
  • Tooth saving: Dental Implant does not affect the health and quality of the adjacent teeth and surrounding structures. Adjoining teeth are not altered at all in placing the implants as done in fixed bridges. This helps in long term benefit of oral health.
  • You have Missing teeth one or more
  • Dental implants can be placed at any age.
  • Good bone density.
  • You have a good oral health.
  • Medical conditions such as uncontrolled diabetes, cancer, radiation therapy to jaws, alcoholism, smoking, uncontrolled gum diseases etc may affect the prognosis of dental implants.
  • Medical status both past and present together with all medications you are taking whether prescribed or self taking are taken in considerations.
dental implants

First thing to be done in placement of Dental Implants is the case selection. The patient with lost tooth should satisfy the criteria for placement of dental implants or not. So for that detailed assessment of overall mouth and jaws within which the teeth functions is to be studied. This will necessitate the study models of your mouth and bite, dental xrays, 3D scans such as CT scan or CBCT Scans. Planning with the help of computer aided imaging helps in accurate placement of dental implants in the bone.

In most cases these procedure causes very little pain. Placing the dental implants requires the surgical procedure in which accurate drill are created in the jaw bone using the surgical guide.

The implants then are fitted into the sites decided so that they are in intimate contact with the bone. They generally require two to six months to fuse to the bone before they can have tooth prosthesis attached to them to complete the process. Also there are methods in which dental implants are loaded immediately.

Why The Dental Hub Ahmedabad?

Our Clients are Our Priority, We Offer Quality Dental Services of Specialists

We offer complete dental care under one roof with precision, artistry and experience.

  • Friendly and experienced Doctors
  • Advanced treatments with maximum comfort
  • Advanced tooth whitening system
  • Most Advanced Technology
  • Complete Dental Care Under one Roof
  • Easiest Payment system